当前位置: 首页 > 新闻中心 > 医院动态 > 正文

新跨越!我院成功开展多种新型分子探针PET/CT临床显像

时间:2022-03-01

近日,我院核医学科在河北省率先成功开展了核素68Ga(镓)标记多种新型分子探针(显像剂)PET/CT显像的临床应用,标志着我院PET/CT新技术跨入国内先进行列。我院成为河北省首家具备相应资质并开展多探针PET/CTPET/MR显像的医院。

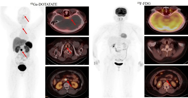
首个病例患者为一名49岁的女性,间断低血糖超过1年,甲状旁腺激素检查异常升高。脑MRI提示为脑垂体微腺瘤,上腹部MRI检查未发现明显异常。但临床怀疑胰腺存在病变,经新探针68Ga-DOTATATE PET/CT检查,发现了胰腺病灶,综合诊断多发性内分泌瘤病I型(MEN1型)。经胰腺穿刺病理证实为神经内分泌肿瘤G268Ga-DOTATATE18F-FDG PET/CT双核素的检查结果为患者临床精准诊疗提供了胰腺病灶的影像学证据。

20215月,我院核医学科率先获得河北省最高级别的IV类放射性药品使用证书。在学科带头人赵新明教授的带领下,科室成员汲取全国优秀核医学科经验,成功开展了多种新型分子探针PET/CT临床显像工作。这些新型分子影像探针包括68Ga-DOTATATE68Ga-生长抑素受体激动剂,针对神经内分泌肿瘤)、68Ga-JR1168Ga-生长抑素受体拮抗剂,针对神经内分泌肿瘤)68Ga-FAPI68Ga-成纤维细胞活化蛋白抑制剂,针对肿瘤微环境中肿瘤相关成纤维细胞,用于各种肿瘤显像)和68Ga-PSMA68Ga-前列腺特异性膜抗原,针对前列腺癌等多种恶性肿瘤)等,新型PET分子探针(显像剂)的应用对相关肿瘤诊断、分期和疗效评价产生了质的飞跃。

目前,PET/CT(或PET/MR)已成为医学影像发展进展最快、最活跃和潜力最大的影像学分支。随着正电子核素新技术的开发与应用,多种新型分子影像探针在神经内分泌肿瘤、前列腺癌、食管癌、胃癌、结直肠癌及腹膜转移、胰腺癌、卵巢癌、肝细胞癌、肾透明细胞癌、乳腺癌、肺癌、头颈部等各种恶性肿瘤、脑疾病和心血管疾病的诊疗方面展现了灵敏度高和特异性强的特点,有着巨大的临床应用价值。

多种新型探针PET/CT的临床使用,满足了临床多元化的需求,进一步提升了我院对肿瘤疑难重症的精准诊疗能力和科研能力,是我院发展史乃至河北省核医学影像发展史上又一重要的里程碑。我院核医学科将紧跟国际及国内相关领域研究的热点、前沿,锐意进取、开拓创新,不断提升患者就医获得感,用更高质量的技术和服务为广大患者的生命健康保驾护航。

/王娜